BenchTop pGEM® DNA Markers

Part Numbers: G7521

customize-this-small

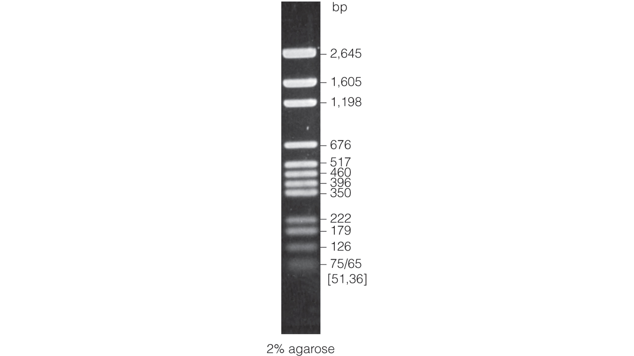
Fifteen DNA Fragments of 36–2,645bp, Combined From Three Separate Digests of pGEM®-3 Vector

  • Store at room temperature (22–25°C)
  • Premixed with loading buffer; ready to load onto agarose gels
  • Load 5μl/lane
  • Now ships at ambient temperature
  • Intended for Laboratory Use (GPR) in the United States. Outside of the United States, this product is intended for research use only unless otherwise stated

Size

Catalog number selected: G7521

Your price:
Add to Cart
This product is discontinued
Add to Helix
This product is available under our Early Access program - Learn More
This product is available under our Catalog (FT) program - Learn More
BenchTop pGEM® DNA Markers
250μl
Your price: Log in

BenchTop DNA Markers offer the convenience of storage at room temperature (22–25°C) as well as the capability of direct loading onto agarose gels. The BenchTop DNA Markers are supplied in a stabilizing solution of 1X Blue/Orange Loading Dye, making the markers ready to load.

The BenchTop pGEM® DNA Markers have 15 phenol-extracted, ethanol-precipitated DNA fragments ranging in size from 36bp to 2,645bp. These unique markers are generated from separate digests of pGEM®-3 Vector DNA with HinfI, RsaI and SinI later combined to form the markers.

Now shipping at ambient temperature. Learn more about the quality testing in the white paper.

Download the White Paper

Specifications

What's in the box?

Item Part # Size

BenchTop pGEM® DNA Markers

G752A 1 × 250μl

Certificate of Analysis

Search by lot number

Use Restrictions

For Laboratory Use. Outside of the United States, this product is intended for research use only unless otherwise stated.

Storage Conditions

HH

Let's find the product that meets your needs.

Talk to a Scientist

scientist-uk-manos

Manos

UK